核医学部門の紹介
当部門は各診療科より依頼される核医学診断および放射線内用療法を行っています。
核医学診断には一般核医学検査(SPECT検査)とPET検査があります。いずれも目的に応じた放射性薬剤を用いることで対象細胞、組織における機能あるいは特定の反応をとらえることができ、病態を把握し至適治療方針を決める上で極めて有効です。また、用いる放射性物質を変えることで放射線内用療法に応用することもできます。
核医学検査は非常に有用な機能的な情報を提供しますが、形態的な情報が不十分なために単独では診断が困難なこともあります。幸い我々の施設では複数のモダリティを同時に参照できる環境にあり、形態所見と機能所見の関連を理解し包括的な診断手法を学ぶことができます。臨床各科との合同カンファレンスや他職種との勉強会も行っており、臨床における広い知識を身につけることで診断力の底上げに繋がっています。
当部門は臨床研究が盛んなのも一つの特徴です。SPECT、PETともに最新鋭の機器を装備していること、新たな核医学製剤が利用可能となる傾向にあることで、非常に研究がしやすい環境にあります。
一般核医学検査(SPECT検査)
核医学検査は放射性同位元素を標識した薬剤を投与し、生体内の特定の標的から発する放射線科/ガンマ線を収集することにより画像を得る検査方法です。核医学検査に用いられる薬剤は生体内の物質を模してデザインされているため、目的とする臓器における機能あるいは特定の反応を非侵襲的にとらえることが出来ます。このようなモダリティの特性上、特定の疾患における機能的な状態、治療による効果に関する研究が容易に行えます。
当院の核医学検査室では4台のガンマカメラが稼働しており、PET検査と同じように機能、形態の包括的診断が可能なSPECT/CT一体機:Symbia T2(図1)、高感度、高空間分解能、高エネルギー分解能といった特性を有する心臓専用半導体ガンマカメラ:Discovery NM530cを擁しています。過去5年間の年間検査数は約3000件で、全国でも屈指の検査実績を誇っています。そのうちSPECT/CT検査は1500件前後近くを占めています。
SPECT/CT融合画像による検査は、SPECTによる機能情報とCTによる形態情報を共有できるばかりでなく、包括的な診断をすることで診断精度が向上します。そして今後登場するであろう新しいトレーサーを用いることでさらに多くの領域で診断の可能性が広がることが予想されます。
当科の強みである虚血の重症度を評価する心臓核医学や認知症の鑑別・重症度を鑑みる脳核医学が盛んです。
これに加えて、核医学内用療法専用の病室も備わり、神経内分泌腫瘍に対する核医学内用療法も実施がされています。
心筋血流量の定量解析に関する研究をソフトウェアの開発とともに行っています。
また、早期の認知機能低下例が将来的にアルツハイマー型認知症に移行しうるかをSPECT/CTに備わるCT減弱補正を用いた研究を行い、有用性が確かめられたので実際に臨床で運用しています。
パーキンソン病/パーキンソニズム関連疾患を診断するDATscanと ドーパミン受容体PETを用いた精神科との共同研究も行ったり、現在、DATscanでの診断を3DMRIを用いた基底核の解剖構造を解析し、病変進展程度を検討する研究も行っています。
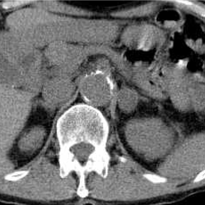
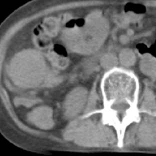
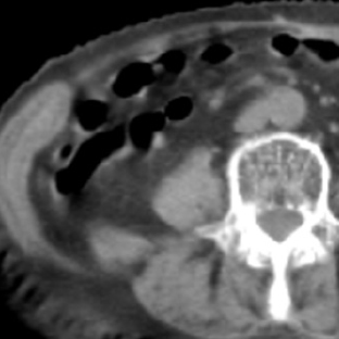
a. 123I-MIBG planar背面像
b. 単純CT
c. 123I-MIBG-SPECT/CT
図2 嚢胞変性した褐色細胞腫
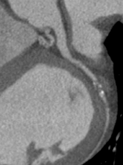
a. 心臓CT
SPECT/CT融合画像
図3 労作性狭心症症例。後側壁〜後下壁の心筋虚血はLCXおよびRCA両方の有意狭窄による。
図1 SPECT/CT一体機:Symbia T2
PET検査
PET検査も放射性同位元素を標識した薬剤を投与し生体内から発せられるガンマ線を収集することにより画像が得られるが、SPECT検査とは用いられる核種が異なります。用いられる核種は放出された陽電子が消滅する際に180度対向方向に511KeVのガンマ線を放出し、SPECT検査に比し空間分解能や画質の高い画像が得られます。目的とする臓器における機能あるいは特定の反応を非侵襲的にとらえることが出来る点はSPECT検査と同様です。
日本医科大学健診医療センターでは最先端のPET-CT装置が2台稼動しており、特に最新のPET/CT装置:GEMINI TF(図1)は高時間分解能、高空間分解能、高画質を併せ持っています。
PET検査もSPECT検査と同様に様々な薬剤を用いることが出来ます。代表的なPET製剤である18F-FDGはグルコース類似物質であり、悪性腫瘍や炎症などのグルコース代謝が亢進している病変の活動性評価に用いられます。悪性腫瘍においては病期診断、治療効果判定、再発診断などで威力を発揮、心サルコイドーシスにおいても同様に病勢評価、治療効果判定が容易です。また、18F-FDG以外にも13N-NH3を用いた心筋血流イメージングやアミロイドイメージングによる認知症の診断も行っています。近年、PET検査を用いた研究は非常に盛んに行われており、今後益々の発展が期待されています。
a. PET MIP像
b. PET/CT像
c. CT像、化学療法後
d. PET MIP像
e. PET/CT像
f. CT像
図2 悪性リンパ腫治療効果判定:完全寛解 化学療法前
図1 PET/CT装置:GEMINI TF



